___Заболевания крови не всегда бесперспективны. Сейчас фармацевтическая индустрия шагнула далеко вперёд. Появилось много инновационных схем лечения с новыми эффективными препаратами, которые в настоящее время доступны и в нашем регионе.
___Хронический лимфолейкоз – один из самых часто встречаемых лейкозов. И, как правило, это заболевание, которое имеет хроническое течение и, зачастую, в течение длительного времени не требует абсолютно никакого лечения. Только динамическое наблюдение*.
___Если Вам поставили диагноз «хронический лимфолейкоз» – пугаться абсолютно не стоит! Доктор назначит Вам динамическое наблюдение, а если появятся показания для лечения – назначит терапию.
___Показания к лечению, определяются активностью опухоли:
1. Появление симптомов опухолевой интоксикации:
2. Появление изменений в анализах крови: снижение гемоглобина менее 100 г/л и/или тромбоцитов менее 100х10*9/л.
3. Очень быстрое увеличение количества лимфоцитов – не в процентном, а в абсолютном содержании. И сам уровень лейкоцитов, как таковой, не имеет значения. Значение имеет – увеличение абсолютного числа лейкоцитов более, чем в два раза за 6 месяцев.
4. Быстрый рос лимфатических узлов (шишек), особенно боле 4-5 см в диаметре.
5. Большие размеры селезенки или ее быстрое увеличение.
___Когда врач на основании критериев к началу терапии примет решение о необходимости начинать терапию, сам выбор схем лечения будет зависеть от очень многих факторов – например, возраста на момент начала лечения, сопутствующих заболеваний, проводимой ранее терапия, данных молекулярных исследований (генетические особенности клеток лимфолейкоза) и др.
___В тех случаях, когда наиболее эффективна стандартная иммунохимотерапия, проводится схема RFC (ритуксимаб+флударабин+циклофосфан) или RChl (ритуксимаб+хлорамбуцил) или Chl (хлорамбуцил в монорежиме) – как правило это очень эффективные схемы, которые в определенных случаях позволяют достичь очень длительной ремиссии.
___В ряде случаев врач может выбрать таргетную терапию – то есть лечение с точечным воздействием на молекулярные особенности клеток лимфолейкоза.
___Одним из таких препаратов точечного действия является акалабрутиниб, который эффективен в том числе при плохом молекулярном прогнозе. Есть такие генетические мутации – например, делеция 17р (утрата участка 17 хромосомы) – при которых стандартный подход к лечению не будет иметь абсолютно никакого успеха и человек погибнет очень рано. В таком случае нужны препараты точечного действия.
___Представление клинического случая из нашей практики
___У нас наблюдается пациент С. 1961 года рождения с диагнозом «С91.1 Хронический В-клеточный лимфолейкоз».
___Диагноз был установлен в мае 2021 года и в течение 2х лет не требовалось никакого лечения, несмотря на то, что уровень лейкоцитов был 44х10*9/л (норма до 12х10*9/л).
___В мае 2023 года у пациента появились показания к началу лечения: симптомы интоксикации (ночные поты, сохраняющиеся более 1 месяца без признаков инфекции), явное увеличение селезенки, массивное и нарастающее увеличение лимфатических узлов (шишек). Время удвоения лимфоцитов менее 6 месяцев (уровень лейкоцитов 178х10*9/л).
___У пациента была выявлена мутация высокого риска - в 92,0% проанализированных интерфазных ядер обнаружена делеция локуса гена ТР53/17р13. Обычно с такой мутацией стандартные подходы не эффективны, заболевание очень быстро прогрессирует и приводит к скорой смерти пациента.
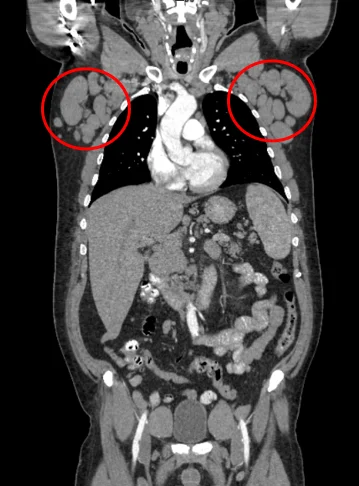
___Вот такими большими были лимфатические узлы у пациента перед началом лечения:

___Учитывая наличие показаний к началу лечения, наличие факторов неблагоприятного прогноза (делеция локуса гена ТР53/17р13), было принято решение – начать терапию, но не химиопрепаратами, а препаратом точечного (таргетного) воздействия. Выбран акалабрутиниб – один из самых современных препаратов – лечение которым проводят в такой ситуации и в нашей стране и во всем мире без исключения!
___У пациентов в нашей области есть уникальная возможность получить лечение на современном МИРОВОМ уровне, естественно, при наличии показаний для такого лечения, поскольку для начала любой терапии нужен очень взвешенный подход.
___И в мае 2023 года пациент начал лечиться. Ответ на лечение мы получили в течение месяца – нормализовался уровень лейкоцитов, уменьшились лимфоузлы.
___Пациент доволен – достигнута ремиссия, для лечения не нужно лежать в больнице, можно вести нормальный образ жизни. Ходить на рыбалку, за грибами, работать. Единственный минус – лечение эффективно, пока пациент принимает таблетки. Поэтому самодисциплина является не менее важной и значимой составляющей успеха!
___Мы будем надеяться на долгую ремиссию без прогрессии и желаем долгой и стойкой ремиссии герою нашего сообщения и всем пациентам с заболеваниями крови!
___К сожалению, лимфолейкоз имеет рецидивирующее течение, рано или поздно он снова поднимет голову. Но на этот случай у нас тоже есть перспективные опции, о которых мы расскажем на примере нашей пациентки в следующий раз.
___* И здесь наш читатель легко догадается, что заболевание не имеет в начальной стадии никаких проявлений, однако может легко быть выявлено с помощью обычного клинического анализа крови. Наиболее вероятно на ранней стадии у большинства пациентов выявление происходит случайно. Однако допускать случайностей в вопросах своего здоровья точно не стоит. Избежать рисков позволяет диспансеризация и профосмотры – мероприятия, направленные на раннюю диагностику заболеваний, в том числе и хронического лимфолейкоза. О том, как пройти профмероприятия мы подробно написали здесь.