___Основная проблема возрастных пациентов, нуждающихся в процессе лечения в искусственной вентиляции легких – слабость дыхательной мускулатуры, которая очень быстро развивается при аппаратной поддержке дыхания. Наш рассказ об одной из таких пациенток, сумевшей преодолеть эту проблему.
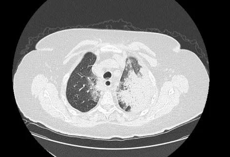
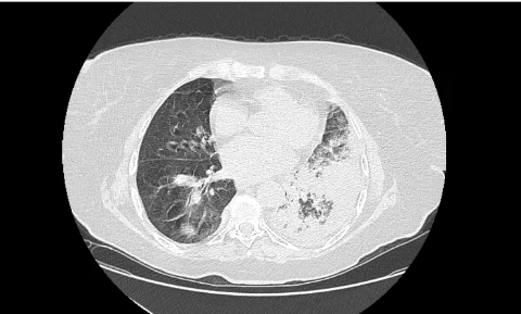
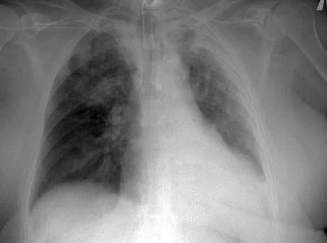
___В декабре 2024 года в пульмонологическое отделение по линии скорой медицинской помощи доставлена пациентка Б., 87 лет, с жалобами на боли в грудной клетке при дыхании, общую слабость. Заболевшей себя считает 6 дней назад, когда впервые появились боли в груди. По этому поводу принимала нестероидные противовоспалительные препараты. Обращает на себя внимание, что 4 дня назад выписана из другого стационара, где проходила лечение по поводу внебольничной двусторонней пневмонии. Госпитализирована в отделение пульмонологии с диагнозом «пневмония». На фоне стартовой терапии пациентка прошла с отрицательной динамикой. Основная причина ухудшения – пароксизм фибрилляции предсердий с развитием церебральной и сердечно-сосудистой недостаточности. В этой связи переведена в отделение анестезиологии и реанимации, где потребовалось протезирование дыхательной функции на фоне нестабильной гемодинамики. Путем объемного экстренного дообследования исключена тромбоэмболия легочной артерии. Больная погружена в медикаментозный сон, переведена на ИВЛ. Обследована, пароксизм фибрилляции купирован. Однако к этому моменту правое легкое было поражено на 100%, а в левом имелись выраженные очаги повреждения.


___Источник инфекции – бактерии, устойчивые к обычным антибиотикам. Параметры ИВЛ на момент старта лечения установлены «жесткие». Лечение в реанимации включало как поддержание медикаментозного сна и ИВЛ, так и вазопрессорную поддержку, антибактериальную, антигрибковую терапии, коррекцию водно-электролитных нарушений, профилактику острых стрессовых язв, зондовое питание, мероприятия общего ухода. Больной выполнены операции по катетеризации центральных вен, установлена трахеостома. Общий прогноз с учетом возраста, основной и сопутствующей кардиальной патологии крайне сложный.
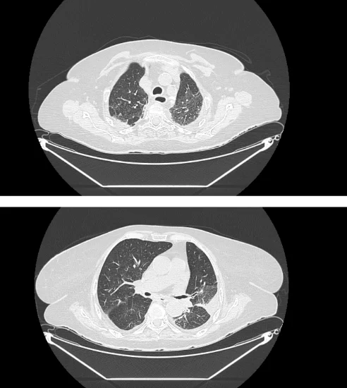
___Вместе с тем, постепенно состояние пациентки удалось относительно стабилизировать. В течение 2х недель параметры вентиляции несколько смягчились. Однако степень повреждения была такова, что полный отказ от ИВЛ был по-прежнему невозможен.

___Серьезную обеспокоенность вызывала приверженность пациентки к аппаратному дыханию. Самостоятельное дыхание практически отсутствовало, так как в такой ситуации – при протезировании функции – любые органы человека начинают «лениться» и очень неохотно включаются в работу. То же, например, происходит с почками у пациентов с хронической почечной недостаточностью – начав процедуру диализа назад дороги не будет, почки окончательно потеряют функциональность. Так же и здесь – требуется постоянная тренировка дыхательной мускулатуры – крайне ослабленной тяжелым течением заболевания.
___Предпринято 5 попыток реабилитационных мероприятий в условиях отделения анестезиологии и реанимации. Последняя попытка дала необходимый эффект – пациентка все увереннее и увереннее дышала самостоятельно. Сначала самостоятельно подключенная к аппарату ИВЛ. Затем с помощью высокопоточной вентиляции. Затем на кислородной маске. Полностью отключиться от ИВЛ удалось только на 45 сутки. Все эти 45 дней специалисты поддерживали пациентку в борьбе с легочным повреждением, ежедневно проводя часы за попытками общей активизации. Наконец, состояние больной позволило получать лечение в условиях отделения пульмонологии. Пневмония разрешилась.

___Еще через 3 недели в удовлетворительном состоянии пациентка выписана домой.
___Проведя в общей сложности 68 дней в стационаре, из них большую часть в реанимации, а из них большую часть с явлениями полиорганной недостаточности, пациентка поправилась. Основная роль в этом, конечно, системы здравоохранения – людей, обладающих необходимым упорством, знаниями и умениями, а также доступностью технологий. Однако это все невозможно без содействия самой пациентки, которая сумела преодолеть себя в борьбе с болезнью, не сдаться, поверить в выздоровление.
___Хочется, чтобы так верили все пациенты. И выздоравливали. А наши специалисты будут делать для этого все возможное.
___При разборе этого случая хочется обратить внимание на важность поддержки пациентки не только медицинскими работниками (особенно стоит отметь Виталия Сергеевича), но и родными. Семейная история это важно, помните об этом, дорогие читатели.